从浙江省台州市玉环县到广东广州,
全程1400多公里,
坐火车要十几个小时,
坐高铁也要好几个小时,
这是一条历经千里的求医路,
所幸,这条路最终是通往健康!
术后恢复中的丁叔
家在浙江省台州市玉环县的患者丁叔,躺在病床上跟小编分享了他千里求医的故事。
病情介绍
丁叔,男性,54岁,因“左下肢乏力、麻木8月,加重半月”入院。患者8月前出现左下肢乏力、麻木,曾至温州、杭州、上海等多地就医,考虑为腰椎间盘突出症,经保守治疗左下肢乏力、麻木无改善。半月前患者出现症状加重,左下肢肌僵硬、行走困难,经病友介绍至我院就诊,确诊为胸椎管狭窄症,入院行手术治疗后恢复良好,现已出院。

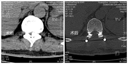
丁叔术前术后CT对比照
胸椎内固定术后CT
“我这个脚没力,发麻已经好久咯,去医院看过,拍过片子,也没有确诊到底是什么问题。在我们那里的医院,医生说是腰椎间盘突出。但是我不是很相信他们,也害怕做手术,所以看了医生也没什么用。”
“我不敢做手术,主要是害怕。后面有熟人介绍,我也去了上海看。在上海没有拍片子,把之前拍的片子带过去了,也没看出问题,还是因为心里没底,不相信他们的诊断,所以没有手术。后来我感觉行走不便,严重影响生活,太辛苦,一定要找个信得过的专家看才行。”
“你们医院的刘文胜院长,在我们家乡那边非常有名,我们很多人都知道他是骨科专家。我这次从那么远的地方,1400多公里到广州,就是冲着刘院长来的。刘院长的技术非常好,我很信赖他!”
“我一来到你们这边,黄医生让我走几步路就看出了我不是腰椎的问题,而是胸椎有问题,厉害!入院后经过全面检查,确诊是胸椎管狭窄症,我觉得这下有救了。”
丁叔和黄医生
“得知是这个病后,在准备手术前,我通过手机百度,得知这个病很严重性,而且手术的风险性很高,我的心再度感到十分焦虑。到手术前称体重,轻了18斤!”
“但是有以刘文胜院长为首的骨科团队在,加上各位医生我开导和安慰,我慢慢放下心来。我真的很信赖你们这里的骨科医生,现在我放心了的!医生们很快就给我做了手术,手术非常成功,现在我已经恢复得差不多了。我很高兴,很感谢你们的医生。”
“你们的医生医德医风非常好,医疗技术也好,我信赖你们没错。骨科中心郑主任对我也很关心,每天都来问候我,看我有没有好一点。管床的黄医生也很负责任,对我很照顾。我很满意,对你们的医生很满意,对医院环境也很满意!”
知道丁叔从浙江不远千里来到广州看病,我们骨科中心的医生都非常重视,对他的病情也十分关注。骨科中心经常会有像丁叔一样的病人,千里迢迢来院求诊,我们从不会因为这样的患者多而轻慢他们。
丁叔和郑主任
经过详细地询问病史和全面的体格检查,CT提示黄韧带骨化,相应胸椎管狭窄。丁叔就是由于胸椎黄韧带骨化,压迫胸髓引起左下肢痉挛性瘫痪,左下肢僵硬、活动不便、偏瘫步态,严重影响日常生活。
骨科中心郑主任精心为丁叔制定了详细的手术方案,做好了充分的术前准备,降低了手术风险,使得丁叔的手术顺利完成,术后左下肢肌张力明显下降,肢体活动灵活、行走步态明显改善,临床治疗效果佳,经过几天的康复锻炼和功能训练,现在丁叔已康复出院、平安归家。
丁叔对我们骨科中心的全体医务人员有很高的赞誉。既是对医院医疗技术水平的肯定,又让人看到了医患之间的真诚与和谐,为骨科中心全体医务人员点赞!
广州中医药大学金沙洲医院
骨科中心

广州中医药大学金沙洲医院骨科中心以治疗脊柱、骨病为主,同时是治疗四肢骨折、关节、运动伤的骨科疾病临床专科,是本院重点科室。科室拥有以刘文胜为学科带头人的经验丰富、医术精湛的骨科疾病治疗专科团队,为各位骨病患者带来优质服务。
骨科门诊
诊间:门诊2楼外科门诊
时间:星期一至星期天全天
骨科病房电话:020-37793555
各位骨科专家详细介绍及门诊时间安排详见公众号或请致电020-3779355咨询。