近日,我院胸外科收治了一名患慢性胸骨并双侧锁骨及第一肋骨骨髓炎患者,经施行 病灶大范围扩创+胸壁重建手术后,恢复良好,患者现已健康出院。

患者康复后和胸外科陈钢主任等医生们合影
病历简介
患者男,44岁,患慢性胸骨并双侧锁骨及第一肋骨骨髓炎迁延三年有余,曾历经两次手术均未能治愈,于2019年7月18日收入我院胸外科。经检查证实:病变已成慢性骨髓炎改变,且与之前相比,病变已逐渐加重,范围累及胸骨大部以及双侧锁骨和双侧第一肋骨。胸外科陈钢主任与本院骨科、影像科等主任和医师们经过充分的讨论研究后认为:再次彻底手术,进行大范围的病灶扩创+胸壁重建是解除患者病痛的唯一选择。
由于手术的难度之大,目前已经很少有人能够面对这种手术风险带来的压力了。然而,2019年7月23日,在我院胸外科、手术麻醉科的共同努力下,顽疾根治与胸壁重建手术的序幕拉开了:首先,作为主刀医生陈钢主任逐一切除了慢性病损的胸骨、双侧锁骨和双侧部分第一肋骨;手术扩创创面彻底清洗、消毒后,游离双侧胸大肌至锁骨中线区域,组织丰韵、血运优良的双侧胸大肌经过裁剪后向中拉拢,完美的覆盖在手术扩创后的创面上,经过四个多小时的精心雕琢,彻底扩创与胸壁重建的手术圆满结束。

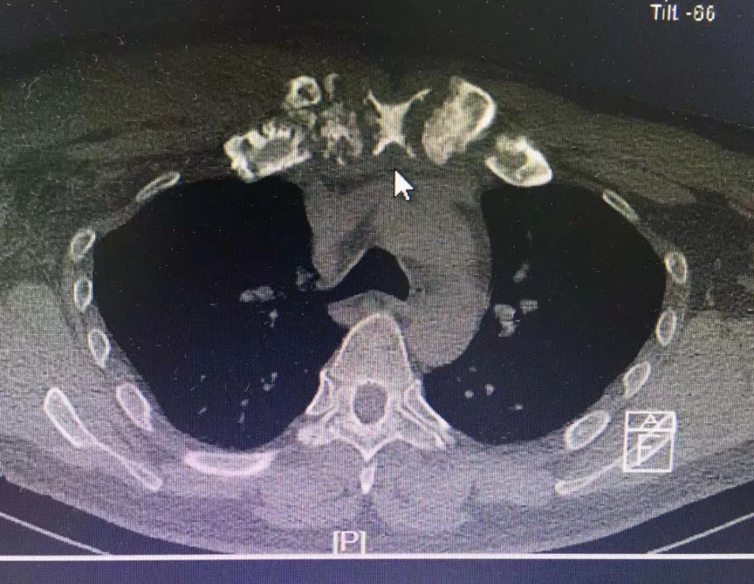
术前(图一)炎性损毁的胸骨、双侧锁骨和第一肋骨

术后(图二)将病灶取而代之者是双侧丰厚的胸大肌
手术后第5天,拔出患者体内各引流管;手术后9天,手术伤口一期愈合拆线;手术后13天,患者面带着满意的笑容康复出院了!

术后患者状态良好
这位患者的顺利康复标志着我院对于复杂、难治性顽疾 — 慢性胸骨甚或合并双侧锁骨以及第一肋骨髓炎及类似疾病的外科手术治疗,已经达到了省内先进水平。
医学科普
由于胸伤、手术伤口感染、胸部放射治疗、周身特异或非特异感染性病灶侵及胸骨后部分的病人会出现胸、肋骨或软骨化脓性感染甚至形成难治性皮肤溃疡。
此外,高龄、营养状况不良、慢性肝脏损害、糖尿病等,也可导致微血管病变及免疫功能下降,引起微循环障碍、组织缺氧,从而增加胸骨感染机会。
当炎症累及胸骨时,就会出现胸骨坏死及化脓性骨髓炎,全身应用抗生素效果不佳,患者反复发热、营养消耗,进而累及前纵膈,且有腐蚀大血管引起大出血而危及生命的可能。
慢性胸骨骨髓炎患者病迁延,常可出现皮肤溃疡、坏死、流脓、窦道经久不愈,临床处理常常很棘手。采取手术治疗是唯一的选择,但必须具备以下三个条件:
(1)妥善处理创面是手术成功的首要条件:必须彻底清除死骨、慢性炎性肉芽组织和异物,直至显露出健康的胸骨、肋骨与肋软骨,使手术区域相对无菌。
(2)清除病灶后的缺损部位需用转移的肌瓣或网膜组织填实以消灭死腔,使手术后创面内不出现积血、积液以免干扰创面的修复、愈合。
(3)仔细缝合固定皮瓣或网膜组织,尽量使伤口内不残留线头及异物,以免形成再感染而最终影响到手术的结果。
胸壁缺损的重建包括:胸大肌肌皮瓣转移修复;腹直肌肌皮瓣转移修复;大网膜移植转移修复;背阔肌肌皮瓣转移修复等。通过随访发现:接受肌瓣转移修复治疗的胸骨骨髓炎患者,创面伤口多在两周左右愈合,手术前疼痛症状明显好转乃至顽固性创面随之消失,效果良好。
胸外科学科带头人简介
