患有输尿管狭窄是种什么样的体验?长期腰背部憋胀不适,发热,厌食,疾病带来的痛苦一言难尽……输尿管狭窄病因复杂,极易引起不同程度的上尿路梗阻和肾积水,甚至威胁患者生命安全。
近日,我院泌尿外科收治了一名输尿管反复狭窄,且狭窄部位长,切开整形及留置内支架管治疗无效的患者。经实施输尿管狭窄扩张+输尿管ALLIUM支架植入术后,康复良好,现患者已经康复出院。
病例简介
患者为中年女性,反复右侧腰腹部不适20年余,先后行2次右侧输尿管镜碎石取石术及3次输尿管切开取石和狭窄整形术。入院前6天再次出现右侧腰腹部不适,行尿路CT检测提示右肾重度积水,诊断为右侧输尿管狭窄并肾重度积水。患者因不堪忍受疾病折磨,入院后主动要求切除患侧输尿管及患肾。
李逊教授经仔细询问病史、查体及查看影像学资料后,认为虽然右肾重度积水,但是右肾实质仍较厚,仍有保留价值,建议先行右肾造瘘术,评估及保护右肾功能。行右肾造瘘术后,肾造瘘管每天引流出约1000ml尿液,并且留取肾造瘘管尿液检测提示尿比重等参数正常,提示右肾仍存在较好功能,值得保留。

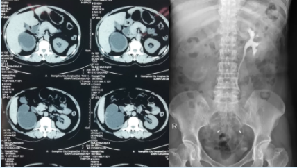
患者术前CT及静脉泌尿系造影资料
为保护患者右肾功能以及治愈右侧输尿管狭窄,经科室讨论后,决定Ⅰ期先行右输尿管镜检+右侧输尿管狭窄球囊扩张术;Ⅱ期行右侧输尿管狭窄ALLIUM支架植入术。Ⅰ期术中发现右侧输尿管中段迂曲并瘢痕狭窄形成,使用球囊扩张器将狭窄部位扩张。

术中检查发现明显“蜂腰征”,提示右侧输尿管中段狭窄

术中使用输尿管球囊扩张器将狭窄部位扩开
术后1月复查静脉泌尿系造影提示右肾功能良好。为彻底解决输尿管狭窄,避免狭窄复发,经科室讨论,认为输尿管狭窄与开放手术疤痕、反复输尿管结石梗阻、输尿管慢性炎症有关,留置常规输尿管内支架管治疗无效。决定Ⅱ期植入治疗输尿管狭窄的“黑科技”——ALLIUM输尿管支架。手术过程顺利,术后患者康复良好,术后3天顺利出院。
术后复查静脉泌尿系造影提示右肾恢复分泌功能术后提示成功植入Allium支架
Allium覆膜支架是特异设计,用于治疗复杂输尿管狭窄,是一种自膨胀大口径支架,由镍钛合金制成,该支架由一层薄的聚合物所覆盖,使它成为一个不渗漏的管道,以防止组织内生长和早期结垢,是目前世界上最先进的支架。在国内,Allium覆膜支架置入术属于新兴技术,治疗效果得到了广泛好评。

Allium支架
李逊教授对于治疗输尿管狭窄有着丰富经验和高超的技巧,我院泌尿外科已成功植入8例ALLIUM输尿管支架,标志着我科在处理输尿管狭窄达到国内领先水平。
医学科普
输尿管狭窄是一种什么疾病呢?
人体内输尿管是一根细长的管道,产生的尿液从肾脏通过输尿管平滑肌的节段性蠕动被输送到膀胱后排出。成人正常的输尿管内径是6毫米,但如果一旦输尿管内部结构或外部组织出现变化,导致输尿管的内径变窄变细,在医学上我们称之为输尿管狭窄,就会导致尿液输送不畅,甚至被堵塞。这就如同家中的下水道,各种因素引起下水道生锈变形,导致下水道排水不畅。
临床上导致输尿管狭窄原因很多,如结石、感染、手术创伤和先天性狭窄等等。输尿管狭窄造成尿路梗阻,导致肾积水、肾盂内压增高,并发结石和感染,使肾功能受损。
输尿管镜下腔内治疗技术,如硬性扩张、气囊扩张、电切及激光等微创技术具有创伤小、安全、效果佳、康复快、痛苦少等优点。ALLIUM输尿管支架特别适合治疗后反复输尿管狭窄、狭窄范围长、输尿管漏尿及其他治疗无效的病例。
科室介绍
广州中医药大学金沙洲医院泌尿外科作为医院的先进科室之一,以李逊教授为学科带头人,现有临床医生9人,其中主任医师3人,副主任医师2人,主治医师2人,住院医师2人,护士11人。
泌尿外科拥有多种先进的治疗设备和医疗器械,包括体外冲击波碎石机、微能量冲击波男科治疗仪、体外热电场热疗机、钬激光、气压弹道碎石机、奥林巴斯显示器光学系统、wolf显示器光学系统、腹腔镜器械、奥林巴斯输尿管软镜、奥林巴斯输尿管硬镜、Wolf输尿管硬镜、Wolf双通道输尿管软镜、Wolf李逊微创肾镜、Wolf李逊标准肾镜、等离子电切镜、膀胱镜等。
泌尿外科所诊治的主要疾病包括:
1、泌尿系结石(肾结石、输尿管结石、膀胱结石、尿道结石)
2、良性前列腺增生
3、泌尿系肿瘤(肾癌、肾上腺肿物、肾盂癌、输尿管癌、膀胱癌、前列腺癌、阴茎癌、睾丸肿瘤)
4、泌尿系畸形(尿道下裂、肾盂输尿管连接部狭窄、隐睾)
5、精索静脉曲张、鞘膜积液、肾囊肿等
6、泌尿道损伤
7、男科相关疾病