
摧毁一个人其实很简单
只需要让她患上一种癌症
如果摧毁不了
那就再患上一种癌症
……
这通常是段子
但却真实发生在一名患者身上
祸不单行!
刚治愈乳腺癌却又患癌症!
刘女士今年40岁,3年前因患有乳腺癌在医院接受了乳腺癌根治术,并熬过八次艰难的化疗,迎来了痊愈。
近日,因为阴道出血明显增多,刘女士再次去到医院进行检查。医生在详细了解刘女士病史、查体后高度怀疑刘女士患有宫颈癌。
告诉一名刚治愈乳腺癌的患者她又患上了宫颈癌,是一件何其残忍的事情!尽管不忍心,医生还是告诉了刘女士自己的怀疑,并建议刘女士住院详细检查、诊断、治疗。
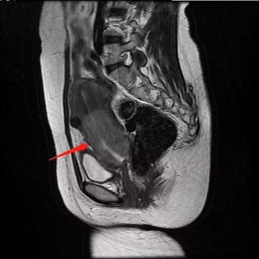
▲通过盆腔MRI发现子宫颈-子宫体中下段占位,考虑诊断宫颈癌
“为什么会是我?!
我不要再承受一次了!”
对于刘女士来说,等待结果的过程是漫长而煎熬的。几天后当她确认自己患有宫颈癌时,她绝望地说道:我已经得过乳腺癌了,化疗过程实在太折磨人!我不要治疗了,我要回家!
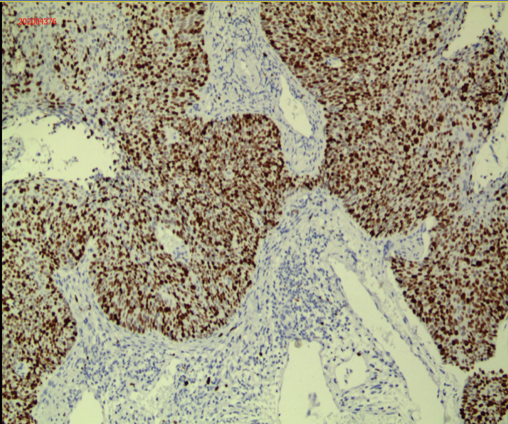
▲宫颈活检病理显示刘女士患有非角化型鳞状细胞癌
其实,刘女士完全没必要早早感到绝望并放弃治疗。
一直以来,手术或者化疗是癌症治疗的重要选择,但手术治疗是一种有创治疗,即使在现代外科采用先进设备辅助也伴随着一定的手术并发症和死亡率,化疗则是全身治疗,人体易产生较大副反应,让患者备受煎熬。
随着时代的发展,放射治疗逐渐成为肿瘤治疗主力军。根据世界卫生组织的数据统计,目前恶性肿瘤5年的治愈率为55%,其中手术贡献率为27%,放疗贡献率为22%,化疗贡献率为6%。
放射治疗临床上适用于大部分的肿瘤患者,其充分显示了杀伤肿瘤细胞、提高肿瘤控制率、保护肿瘤周围正常器官的技术优势。如今,刘女士完全可以选择进行放疗。
智慧精准放疗
助力患者走向康复之路
通过放疗,可以彻底消灭或缩小肿瘤,降低肿瘤侵袭能力,使不能手术的患者重新获得手术治疗机会,或摧毁手术后可能残余的肿瘤细胞。另外,一些晚期肿瘤体积过大,肿瘤细胞广泛侵润,手术无法完全清除癌组织细胞时,也常利用放疗来控制肿瘤病灶,以减轻症状,提高生存质量。因此,放疗是杀死肿瘤的“隐形高手”。
智慧精准放疗与传统放疗技术不同之处可概括为“四最”,即:靶区(病变区)内受照剂量最大,靶区周围正常组织受量最小,靶区内剂量分布最均匀,靶区定位及照射最准确。其优点是“高精度、高剂量、高疗效、低损伤”,主要包括三维适形放疗、调强适形放疗、立体定向放疗以及被誉为“尖端”放射治疗技术的质子重离子放疗。
广州中医药大学金沙洲医院国际肿瘤医疗中心致力于向中国医疗领域引进国际最前沿的治疗技术和医疗设备,如全国首台第六代全数字化M6射波刀、美国瓦里安TrueBeam系统、Halcyon医用直线加速器、西门子双光子四维大孔径CT模拟定位机、PET-CT等等,这些国际领先设备组合在一起,形成了一套先进、完整、智能化的“智慧精准放疗”技术体系,打造了华南智慧精准放疗技术新高地。国际肿瘤医疗中心高精准、高疗效、低损伤治疗各类早中晚期肿瘤,为广大肿瘤患者提供与国际同步的高质量医疗服务,让更多的患者从这里走向康复之路!
温馨提醒:
大家一定要重视健康体检!
及时发现疾病,及时就医,及时治疗
还要随时都要保持乐观向上的心态
这样才可以
尽可能远离病魔,拥抱健康人生!