颅内多发肿瘤患者的病灶分布在全脑,有些靠近敏感器官,因此同时治疗多个颅内转移灶具有一定的挑战性,HyperArc技术的出现直击脑转移瘤治疗的痛点和难点。
我院采用HyperArc技术治疗肿瘤患者
在传统放射治疗中,对于颅内多发肿瘤很多医院往往采取全脑照射的方式,把整个大脑作为靶区进行放射治疗,正常的脑组织承受的辐射剂量跟肿瘤是一样的,这就导致患者放疗后反应比较大,可能出现如恶心、呕吐以及偏瘫、认知功能障碍等。
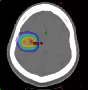
针对上述情况,我院国际肿瘤医疗中心的做法是采用VMAT容积旋转调强放疗。把每个肿瘤作为单独的靶区和大脑健康区域区分开,只针对肿瘤本身进行照射,这样即可减少放疗对正常脑组织的影响,也减少了患者的放疗副反应。这种方式的实现,需要在同一个面上对肿瘤进行360°全方位照射。

我院采用HyperArc技术治疗肿瘤患者
而我院采用的最新的HyperArc技术则是对VMAT技术再一次优化。HyperArc技术几乎适合所有的颅脑肿瘤,特别是在颅内多发肿瘤方面优势更加显著。
对比:

全脑照射,正常脑组织承受的辐射剂量跟肿瘤一样

VMAT容积旋转调强放疗,在同一个面上对肿瘤进行360°全方位照射

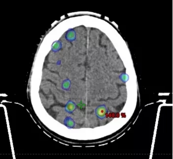
HyperArc治疗颅内多发肿瘤,可一次性照射多个肿瘤靶区,同时确保肿瘤受到充分照射的同时,保护正常脑组织
HyperArc技术优势体现
01 技术升级,治疗副反应更小
HyperArc技术使照射肿瘤的角度从原来的360°增加到900°,进一步保护了正常脑组织。在此基础上,肿瘤受到的辐射剂量更大,照射更充分,在保证肿瘤治疗效果的同时再次减轻患者的放疗副反应,使患者在整个放疗过程中更加舒适。

360°照射示意图

900°照射示意图
02 自动化流程,一键式操作缩短治疗时间
HyperArc技术让肿瘤治疗流程更加简化。在放疗过程中,放疗技师只需要在操作间一键执行,整个放疗流程就能自动进行。该自动化流程能够实现一次性同时“打击”十几个肿瘤病灶,无需进入治疗室重新对患者进行摆位或者手动移床(在以往的治疗中,每个患者位置的改变,都需要人工进行摆位和治疗前的摆位验证,单次治疗需要耗费更多的时间),缩短了治疗的总时间。
为患者量身定制的头部专用固定装置
03 加拍影像,治疗精准度进一步提高
设备在每次旋转治疗床时都会加拍MV影像,对患者的体位进行再次校准,将治疗精度提高到误差小于1mm。

治疗前拍摄CT影像,与定位CT进行图像融合,确保治疗精确进行

治疗过程中加拍的MV影像,及时校准患者体位
HyperArc技术对于精准放射治疗要求很高的颅内多发肿瘤,可实现高质、高效、无创的放射外科治疗,尤其为我国脑部肿瘤患者带来了新的生命希望,希望让越来越多的肿瘤患者有机会从我们先进的技术中获益。